จัดฟันที่ไหนดี ? Double Smile Dental Clinic มีคำตอบ สร้างความมั่นใจให้กับรอยยิ้มมากขึ้น
- #จัดฟัน
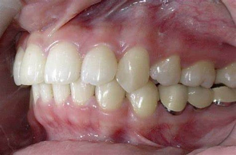
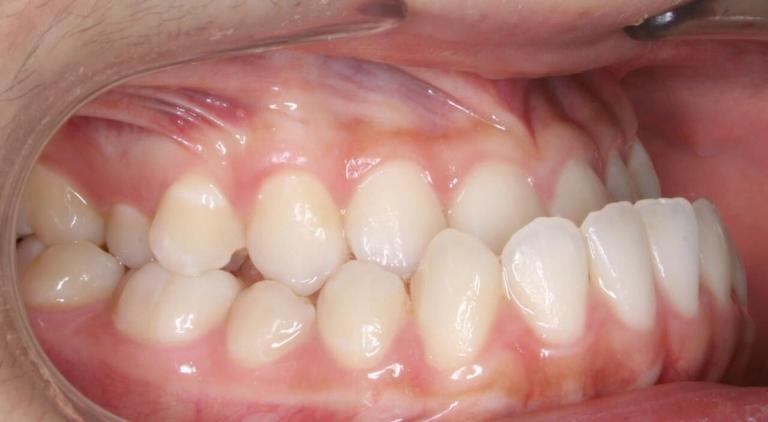
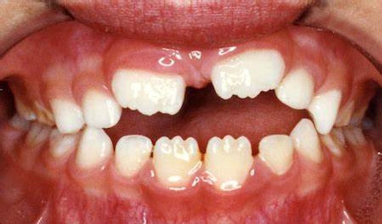
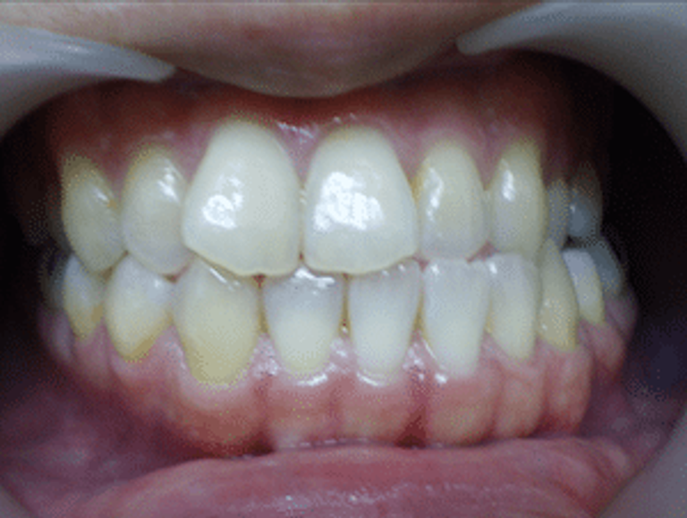
Case Review
Before & After

บทสรุป 7 ลักษณะฟันที่ควรจัดฟัน

ฟันที่ควร จัดฟัน เป็นการด่วน! หรือไม่มั่นใจว่าปัญหาฟันที่ตนเองมีอยู่จะสามารถรักษาด้วยการจัดฟันได้ เพื่อให้คุณสามารถประเมินการจัดฟันเบื้องต้นด้วยตนเองได้ Double Smile Double Smile Dental Clinic ได้รวบรวม 7 ลักษณะฟันที่ควรจัดฟันมาไว้ที่นี่แล้ว
รูปแบบลักษณะฟันที่มีปัญหามาจาก โครงสร้างขากรรไกร การสบฟันที่ผิดปกติทำให้เกิดฟันสึก การเรียงของฟันไม่เป็นระเบียบทำความสะอาดลำบาก ฟันที่เรียงตัวไม่ถูกต้องอาจนำมาซึ่งปัญหาต่างๆ เช่น ฟันสึกไม่เท่ากัน โรคเหงือก อาการปวดกราม ฟันผุ
แบ่งลักษณะฟันเป็น 7 แบบที่ควรจัดดังนี้
1.ฟันบนยื่น

ฟันบนยื่น ฟันบนยื่นออกมาข้างหน้ามากจนเกินไป มักเกิดจากปัญหาการเรียงตัวของฟันหรือแนวกราม ในเคสที่ฟันหน้ายื่นออกมาอาจทำให้ปิดริมฝีปากได้ไม่สนิทหรืออาจเกิดอุบัติเหตุทำให้ฟันหน้าบิ่นหรือหักได้ง่า
2.ฟันล่างยื่น

ฟันล่างยื่นออกมาข้างหน้ามากจนเกินไป ทำให้รับประทานอาหารลำบาก อาจเกิดความเจ็บปวดเรื้อรังของขากรรไกร จะคล้ายกับฟันบนยื่นแต่เป็นชุดฟันล่าง ที่ล้ำมาข้างหน้าแทบทั้งแถ
3.ฟันกัดคร่อม

เมื่อกัดฟันพบว่า ฟันบนไม่สามารถขบได้พอดีกับฟันล่าง มีลักษณะขบแบบไขว้ สลับกันไปมา ไม่สมดุล ทำให้การขบเคี้ยวอาหารได้ไม่เต็มปากเต็มคำ และอาจจะทำให้ขากรรไกรเกิดความผิดปกติ รูปหน้าเบี้ยวได้แน่นอนว่าการถอนฟันนั้นมีความเสี่ยงต่อการเกิดการติดเชื้อ เพราะเมื่อฟันถูกถอนออกไปจากกระดูกขากรรไกรแล้ว จะเกิดช่องว่าง มีเลือดออก แบคทีเรียในช่องปากก็อาจะก่อให้เกิดการติดเชื้อได้ และเชื้อก็สามารถกระจายได้ นอกจากนั้น ช่องว่างที่เกิดจากการถอนฟัน ก็ส่งผลกระทบต่อฟันข้างเคียง ซึ่งจะมีการเคลื่อนที่ออกจากตำแหน่งเดิม ไปยังช่องว่าง ทำให้ฟันห่าง ฟันเรียงตัวไม่สวย และเกิดปัญหาฟันล้มได้
4.ฟันสบเปิด

เมื่อขบฟันแล้วมีช่องว่างเปิดระหว่างฟันบนกับฟันล่างมากเกินไป เกิดช่องว่างขึ้นเวลาสบฟัน อาจจะทำให้รับประทานอาหารได้ลำบาก และ ไม่สวยงาม ควรต้องจัดระเบียบฟันใหม่ เพื่อลดช่องว่างเหล่านี้
5.ฟันกัดเบี้ยว

จุดศูนย์กลางของฟันบนไม่ตรงกับฟันล่าง ส่งผลต่อการบดเคี้ยวอาหารทำได้ไม่เต็มประสิทธิภาพมากพอ
6.ฟันห่าง

ฟันห่าง มีช่องว่างระหว่างฟันที่เกิดจากฟันหลุดหรือฟันที่ขึ้นไม่เต็ม หากปล่อยให้เป็นรูโหว่หรือฟันหลออยู่แบบนี้ จะทำให้ฟันซี่ข้างๆ โน้มเอียงเข้าไปหาช่องว่างนั้นมากขึ้นๆ
7.ฟันซ้อน

ฟันที่ขึ้นมามากเกินไปจนเกทับกัน อีกหนึ่งลักษณะที่ทำให้ฟันมีปัญหา เบียดเสียดเพื่อแย่งพื้นที่กัน ทำให้ทำความสะอาดยากเศษอาหารเข้าไปสะสม เสี่ยงเป็นโรคเหงือกหรือโรคฟันผุ สมควรที่ต้องถอนซี่ส่วนเกิน และจัดฟันใหม่ให้เข้าที่


