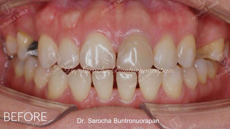
เคสรีวิวอุดฟันและวีเนียร์ 36

Before

After


Case Review

Before & After

ติดต่อสอบถาม

เวลาทำการ

เปิดทุกวัน 10:00 - 20:00 PM

Caltex Station 72/5, 1 ถ. รามอินทรา มีนบุรี ในปั้มน้ำมันคาลเท็กซ์ รามอินทรา กม.14 อยู่ระหว่างซอยรามอินทรา 84และ86 เยื้องโรงเรียนเศรษฐบุตรบำเพ็ญ กรุงเทพมหานคร 10510

© 2026 Doublesmiledentalclinic. All rights reserved.

Promotion Banner
เคสรีวิวอุดฟันและวีเนียร์ 36 - Double Smile Dental Clinic