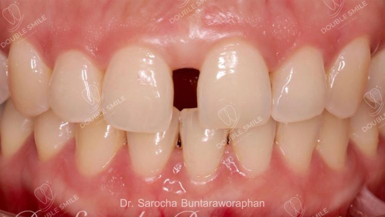
เคสรีวิวอุดฟันและวีเนียร์ 43

32

Before

After


Case Review

Before & After

ติดต่อสอบถาม

woking hours

Open everyday 10:00 - 20:00 PM

Caltex Station 72/5, 1 Ram Inthra Road, Min Buri, located within the Caltex gas station at Ram Inthra Km. 14, between Ram Inthra Soi 84 and 86, opposite Setthabutbamphen School, Bangkok 10510.

© 2026 Doublesmiledentalclinic. All rights reserved.

Promotion Banner
เคสรีวิวอุดฟันและวีเนียร์ 43 - Double Smile Dental Clinic